segunda-feira, 11 de fevereiro de 2019

A MORTE EXISTE? UMA VISÃO CIENTÍFICA DA POSSIBILIDADE DA VIDA APÓS A MORTE

A MORTE EXISTE? UMA VISÃO CIENTÍFICA DA POSSIBILIDADE DA VIDA APÓS A MORTE
Existe vida após a morte? O que acontece depois do "fim"? Vamos para um outro lugar além desse, ou tudo acaba com a morte?

Sempre me intrigou como um ser tão efêmero quanto o ser humano teria a capacidade de existir após a morte do corpo. E, principalmente: em que se baseia tal ideia para que possa merecer alguma credibilidade? Essas perguntas levam imediatamente a religião, e a crença religiosa na existência de um princípio que continuaria a existir após a morte do corpo: a alma.

Contudo, como a crença em uma possível continuidade da vida após a morte do corpo se dilui em inúmeras crenças religiosas, tão diferentes entre si, sem explicações claras e não passíveis de serem verificadas. A pergunta que surge é: Haveria um modo de demonstrar a possibilidade da continuidade da vida, ou de alguma forma de consciência, após a morte do corpo sem recorrer a religião?
  
Ao contrário do que tem sido apontado, de que a memória, a inteligência e a consciência são produtos de um cérebro, estudos sobre pessoas que perderam parte do cérebro, e que convivem bem apenas com uma pequena parte de um cérebro normal, tem apontado para a existência de uma memória extracerebral, que, por outro lado, também não combina com a ideia tradicional de alma.

Convido todos a conhecerem a incrível teoria da memória extracorpórea.

A Incrível Descoberta de John Lorber

John Lorber
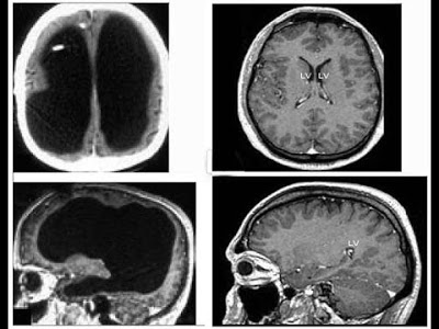
Na década de 1970, um médico britânico, John Lorber, aproveitando-se da nova tecnologia de varredura cerebral, ao examinar os cérebros de adultos que tiveram hidrocefalia durante a infância, descobriu que dos 600 adultos, 60 viviam bem com apenas 5% de um cérebro normal. Isso impressionou bastante John Lorber, levando-o a se perguntar: Como seria possível que alguém conseguisse viver bem com apenas 5% de um cérebro normal? Mas, o mais impressionante, ainda estava por vir. Lorber descobriu que metade dessas 60 pessoas possuíam inteligência acima do normal. Ou seja: como se não bastasse estas pessoas conseguirem se manter vivas com apenas 5% de um cérebro normal, incrivelmente, tinham ainda inteligência acima do normal.

Criança com Hidrocefalia
Não à toa isso desconcertou muito o médico britânico, pois você faz ideia do que é 5% de um cérebro normal? É praticamente nada! E em meio a essas pessoas que viviam com apenas uma diminuta parte de um cérebro, ele ainda encontrou um matemático que havia se formado com louvor usando apenas 5% de um cérebro normal.

Como era de se esperar, John Lorber viu que havia uma grande disparidade entre o que havia sobrado dos cérebro destes adultos que haviam sofrido de hidrocefalia, quando crianças, e a quantidade de informação que estes possuíam em seus cérebros.

Lorber tentou explicar como pessoas podiam viver normalmente, com memória normal e com inteligência acima da média com apenas 5% de um cérebro normal, como se os 95% restantes não fizessem a menor falta. Ele explicou argumentando que devia haver no cérebro uma grande quantidade de matéria sobressalente, inativa, que não era usada. Ou seja: segundo ele, um ser humano normal não chegaria a usar todo seu cérebro, mas apenas uma pequena parte, que continuaria esperando ser usado. O que explicaria o fato de pessoas que tiveram parte de seus cérebros destruídos, se recuperarem tão bem, já que passariam a usar partes do cérebro que não haviam sido destruídos e que estavam inativos.

Indivíduo Sem Parte do Cérebro
A ideia de que usaríamos apenas uma pequena parte de nosso cérebro se tornou bastante popular fora da área dos especialistas, durante os anos 70, que até fez parte da letra da música “Ouro de Tolo”, de Raul Seixas:
É você olhar no espelho
Se sentir um grandessíssimo idiotaSaber que é humanoRidículo, limitadoQue só usa 10% de sua cabeça animal
Em 1980, John Lorber apresentou uma conferência com os resultados de suas pesquisas a especialistas, com o título “Seria o seu Cérebro Realmente Necessário?”.
Durante sua conferência, John Lorber não encontrou aprovação aos resultados de sua pesquisa. Muitos alegaram dificuldades em interpretar os resultados de sua pesquisa, e havia também aqueles que diziam que suas ideias eram pouco científicas. Resultado: sem uma boa recepção na comunidade científica, a ideia de que usamos apenas uma pequena parte de nosso cérebro caiu no esquecimento. E em em 1996, John Lorber faleceu aos 82 anos.

Após sua morte, se alguém lembrava de suas ideias era apenas para zomba-la, como “o mito dos 10%”.

Em 2007, o antropólogo John Hawks combateu as ideias de John Lorber com a teoria de que o cérebro humano teria a propriedade de economizar sua capacidade de memória quando sobrecarregado, simplesmente ele apagaria memórias menos importante para ceder espaço para novas memórias. Portanto, as ideias de John Lorber era apenas lembrada como exemplo de teoria bizarra e mal construída cientificamente.

À Esquerda, Indivíduo Com Pequena Parte de um Cérebro (em Cinza), à Direita, Indivíduo com Cérebro Normal

Porém, alguns meses depois de John Hawks negar as ideias de John Lorber, médicos franceses publicaram em uma revista a descoberta de um funcionário que vivia bem com um cérebro nas mesmas condições que tanto impressionou John Lorber, sugerindo que as ideias deste não deveriam ter sido tão facilmente descartadas. Mais tarde, neurocirurgiões brasileiros também relatariam outro caso semelhante.

Estes novos acontecimentos têm trazido novamente à tona tentativas de explicar o impressionante fato de que algumas pessoas conseguem viver bem, com boa memória, e até com inteligência acima do normal, com apenas 5% de um cérebro.

Explicações Possíveis

1.   Nossa memória de longo prazo são guardadas em nossos cérebros de alguma forma química ou física que pode ser explicado pelo conhecimento atual sobre o cérebro humano.

2.   Nossa memória de longo prazo são guardadas em nossos cérebros em alguma forma extremamente pequena, subatômica, ainda desconhecida por nós. “Aqueles que testemunharam nas últimas décadas o grande aumento no poder dos computadores para armazenar grandes quantidades de informação em espaço cada vez menores não devem se surpreender se evidências para esta alternativa eventualmente surja”.

3.   Nossa memória de longa prazo são, de alguma forma, guardadas fora de nossos cérebros. “Por incrível que pareça, esta surpreendente alternativa tem sido analisada por pelo menos duas décadas. Um professor em ciência da computação da Universidade de Georgetown esboçou como poderia funcionar (Berkovich 1993, 2014).

Hoje, as explicações dadas para pessoas que devido a doenças ou acidentes perdem parte do cérebro, e mesmo assim, conseguem viver bem, é atribuído a grande capacidade do cérebro humano de reassumir e reorganizar suas funções, isto é, uma parte do cérebro pode mudar de função para compensar uma parte defeituosa ou que foi perdida. No entanto, como têm apontado alguns pesquisadores, deve haver limites para isso. “É  uma  questão  de  lógica  elementar  que,  em  algum  momento de redução do cérebro, essas explicações devem falhar”, principalmente nos casos relatados aqui, de pessoas vivendo bem com apenas 5 % de um cérebro normal.

Acima, Menina de 7 Anos que teve Vida Normal Após a Extração de um dos Hemisfério Cerebral
Se para a explicação de que partes do cérebro podem mudar de função para compensar uma parte defeituosa ou que foi perdida, deve existir um momento em que a redunção do cérebro se torna tão excessiva que esta capacidade falhe, resta então as explicações 2 e 3, com a explicação 2 ainda a ser descoberta suas bases. Porém, a mais surpreendente explicação que se impõe como possível explicação para o incrível fenômeno da quantidade de informação não coincidir com o tamanho do cérebro, fato surpreendentemente verificado em pessoas que vivem vida normal com apenas 5% de um cérebro. Passamos então a teoria da memória extracorpóreo.

Hipótese da Memória Extracorpórea
Como a memória funciona ainda é um dos maiores mistérios da ciência hoje em dia, mesmo quando analisada em um cérebro normal, e torna-se ainda muito mais misteriosa quando vista em pessoas que vivem bem com apenas 5% de um cérebro normal.

Como é possível que uma pessoa com muito menos tecido cerebral possa ter a mesma capacidade de guardar memória, e de ter até mais inteligência, que alguém com um cérebro com toda sua capacidade de memória? Como é guardada toda essa quantidade de informação de um cérebro normal em apenas 5% de um cérebro normal?

Esta pergunta tem levado alguns pesquisadores a argumentar que a memória de longo prazo só poderia ser guardada fora do cérebro, como explicação para que pessoas com apenas 5% de um cérebro normal tivessem memória igual a uma pessoa com um cérebro normal. Para estas pessoas o cérebro humano seria como um computador que armazena e acessa arquivos (memórias) armazenados em um local remoto, como fazemos ao acessar informações pelo computador via internet.

“Por incrível que pareça, esta surpreendente alternativa tem sido analisada por pelo menos duas décadas. Um professor em ciência da computação da Universidade de Georgetown esboçou como poderia funcionar (Berkovich). Um árabe médico-filósofo do século X até tinha uma versão (Avicenna)”.

Se esta teoria estiver correta, então a memória de um indivíduo, não estando contida no cérebro, não pereceria com a morte do corpo. E sendo nossa memória parte fundamental de nosso eu, seria uma forma de imortalidade de nossa consciência.

Curiosamente, esta teoria está em perfeita harmonia com algumas das teorias científicas mais inovadoras da ciência moderna, como a hipótese da existência de outras dimensões e outros universos além do nosso; universos que, segundo teorias físico-matemáticas, teria contato com nosso mundo por meio de dimensões que ainda desconhecemos, mas que são provadas por meio da matemática.

FONTE: A Certeza de Wittgenstein  é incerta: varreduras cerebrais de hidrocéfalos curados desafiam acalentadas premissas, de Donald R. Forsdyke 

Nenhum comentário:

Postar um comentário